Dental Implants in Paramus, NJ

Dental Implants in Paramus, NJ

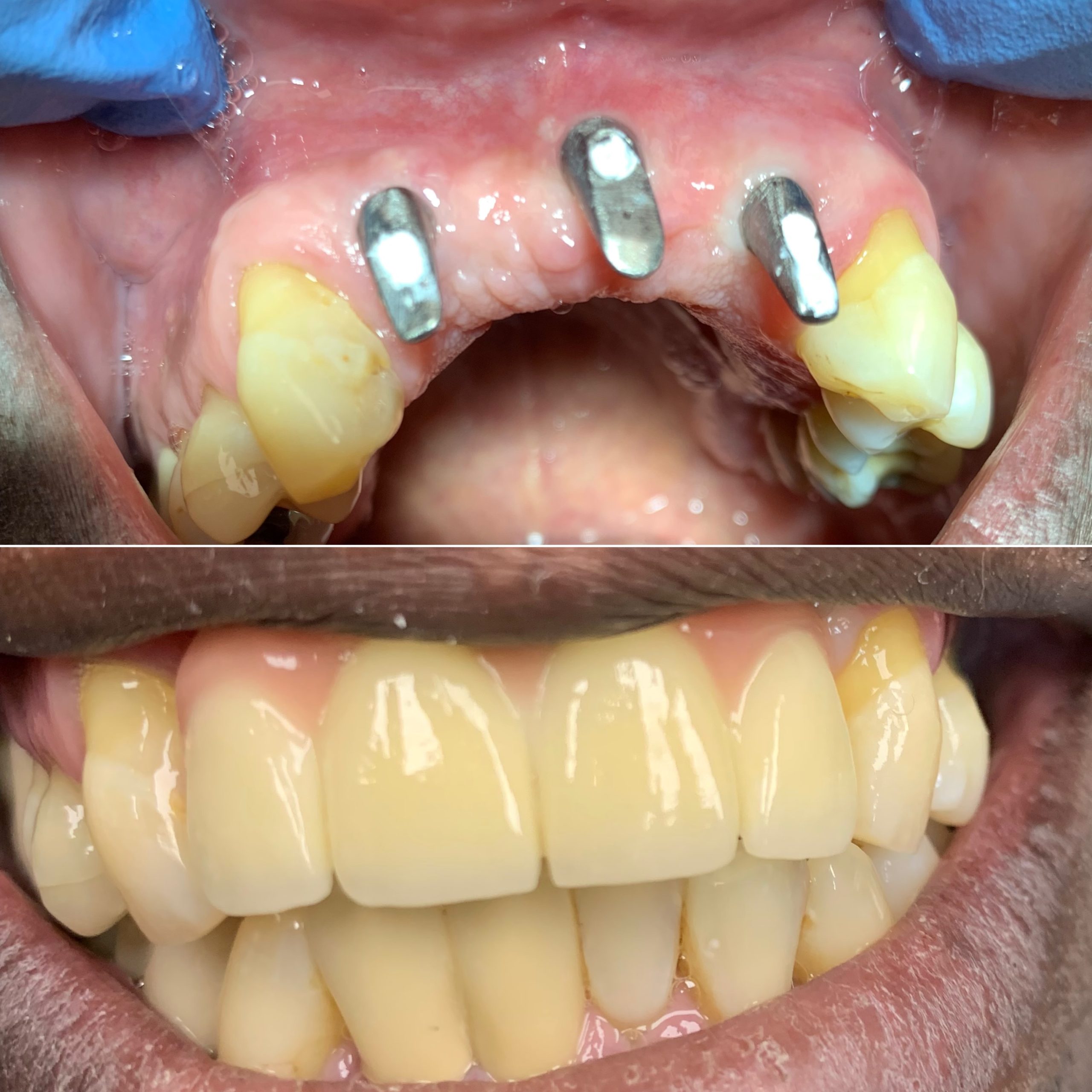
Permanent tooth loss is a common problem, but it is often difficult for patients to handle. Losing teeth causes a number of health issues and can damage self-confidence, causing people to withdraw from regular activities. At Paramus Park Mall Dental in Paramus, we care about our patients and want to restore both smiles and self-esteem. This is why we offer dental implants to replace missing teeth.

What Is It?

A dental implant is a synthetic tooth composed of two parts: a thin titanium root and a durable crown. Combined, these components create a durable tooth to replace one that has been lost in a patient’s mouth. Dental implants are installed directly through the gums and into the jawbone, creating a tight fit. Over time, the bone grows around the root, holding the implant in place.

Because of the nature of dental implants, they are designed to be permanent and are a great option for patients seeking to have a complete smile once more.

Who Can Receive One

There are several requirements to have a dental implant. First and foremost, the jaw needs to be thick and healthy enough to support the root. Jawbone thinning is a common problem among patients who lose teeth. If your jawbone has thinned, our skilled staff will perform a bone graft to rebuild it.

Besides having a strong jaw, recipients of dental implants also need healthy gums. If you are suffering from gingivitis or periodontal disease, our dentist will customize a treatment plan for you. Once your gums and jawbone recover, you are ready for the implant.

The Benefits

At Paramus Park Mall Dental, we want all of our patients to have healthy smiles they are proud of. The dental implant is one of the best restorative procedures because it can prevent future health problems like jawbone thinning and facial collapse. The implant itself is also highly durable and cannot be damaged by plaque, providing patients with a tooth capable of lasting forever.

However, one of the greatest benefits of the implant is getting to return to your regular activities like eating and chewing without difficulty. If you live in Paramus and are seeking a qualified office to help you recover from permanent tooth loss, come see us at Paramus Park Mall Dental today.